스케일링이 시린 걱정이라면?

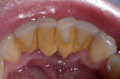
아무리 정성스럽게 양치질을 해도 충치가 생기기 쉬운 분들이나 잇몸이 약한 분들이 있는데 이런 분들은 스케일링을 언제 받았는지 생각해 볼 필요가 있습니다. 치아 사이에 남아 있는 음식은 치태와 치태의 주요 원인이 되며 잇몸과 치아에 다양한 구강질환을 일으키게 됩니다. 문제는 치석은 양치질로 제거되지만 치석이 굳어서 생긴 치석은 양치질이나 치실로도 제거할 수 없다는 점인데, 따라서 정기적인 스케일링으로 치석을 제거해야 합니다.그런데 스케일링의 이 냉증이나 그 이후에 나타나는 출혈이 부작용이라고 생각해서 치료를 제때 받지 않는 분들이 많습니다. 스케일링 이 시린 것은 정말 부작용인지 런던 오후 치과에서 알아보겠습니다. 스케일링이란?
![]()
우선 스케일링이 뭘까요? 딱딱한 물질을 긁거나 비늘을 제거한다는 의미의 스케일링은 치아 표면과 치아와 잇몸 사이에 남아 있는 치석과 치석을 제거하는 시술 방법입니다. 이물질을 물리적으로 제거하고 치아 표면을 매끄럽게 하는 등 예방 목적이 가능한 치료 방법 중 하나이며 착색 예방에도 도움이 되므로 치아 미백에도 도움이 됩니다. 스케일링이 시린 이유는?

치석은 치아 표면에만 가능하기 때문에 잇몸과 치아 사이에도 생길 수 있습니다. 이때 스케일링을 통해 치석이 제거되면 치아 뿌리가 외부로 노출되지만 코트를 입고 벗을 때 나타나는 외로움처럼 일시적으로 이가 시리게 느껴질 수 있습니다. 이런 증상들은 잇몸이 다시 올라가기 전까지 나타난다고 볼 수 있고 치태의 양이 많거나 스케일링을 정기적으로 받지 않은 분들이라면 증상이 더 심해질 수 있습니다.대부분의 경우 시간이 지나면 사라지게 되는데 잇몸에 염증이 있는 분이라면 더 오랜 시간 증상이 나타날 수 있고, 3주 정도 지나도 지속된다면 치과의원에 내원하여 잇몸 상태를 확인해야 합니다. 출혈은 왜 발생하나요?
![]()
치아와 잇몸 사이에 남아 있는 치석을 제거하면 출혈이 생길 수 있는데 치석이 많거나 잇몸 염증이 심할수록 출혈이 많아집니다.즉, 잇몸 상태가 건강에 좋지 않은 경우 출혈이 발생하고, 1주일 이상 출혈이 나타나거나 붓기가 가라앉지 않을 경우 치과의원을 방문해야 합니다.
런던 오후에는 이러한 이유로 스케일링을 받지 않는 분들을 위해 ‘프리미엄 오후 스케일링’을 도와드리고 있습니다. 일반적인 스케일링 방식과 달리 온도 조절을 통해 뜨거운 물이 분사되기 때문에 환자가 편하게 치료받을 수 있습니다.또한 치석의 양과 단단함에 따라 자동으로 출력이 조절되며 낮은 출력으로 잇몸 자극도 줄일 수 있습니다. 미세파우더를 이용하여 부드럽고 상쾌하게 치석과 치석을 제거할 수 있습니다.
![]()
스케일링 이 시린 치아에 대한 오해는 풀렸습니까? 건강보험에 가입된 만 19세 이상이면 1년(매년 1월 1일~12월 31일)에 1회 건강보험이 적용되오니 스케일링을 통해 건강한 구강을 유지해 보시기 바랍니다.
![]()
스케일링 이 시린 치아에 대한 오해는 풀렸습니까? 건강보험에 가입된 만 19세 이상이면 1년(매년 1월 1일~12월 31일)에 1회 건강보험이 적용되오니 스케일링을 통해 건강한 구강을 유지해 보시기 바랍니다.

런던오후치과의원 울산광역시 남구 문수로 482 대공원 코알파크벨 1동 2층 201호 예약

런던오후치과의원 울산광역시 남구 문수로 482 대공원 코알파크벨 1동 2층 201호 예약
![]()
런던오후치과의원 울산광역시 남구 문수로 482 대공원 코알파크벨 1동 2층 201호 예약
![]()
런던오후치과의원 울산광역시 남구 문수로 482 대공원 코알파크벨 1동 2층 201호 예약


